Bad Dog Breath? Early dental care may prevent big problems.

Dental disease in our pets: More than just bad breath
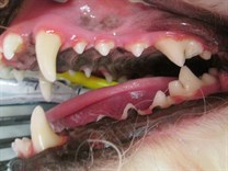
We all love spending good quality time with our beloved pets, but nothing puts a damper on that special time like really horrid smelling panting or kisses. What is causing this bad breath otherwise known as halitosis? One of the most common causes is dental disease, which is seen in over 85% of pets by 4 years of age. Small/toy breeds tend to develop dental problems at an earlier age, but risk can also be dependent on breed, genetics, and conformational abnormalities. Dental disease starts as plaque, an invisible gummy bacteria-filled substance that forms on the teeth within a few hours after eating. Some plaque is removed by chewing, but most thickens, hardens, and mineralizes into bacteria-laden tartar. This tartar accumulates and damages gums, allowing bacteria in the mouth to travel through the blood stream and cause infections in the heart, liver, and kidneys. The infection in the gums will also lead to pain and tooth loss.
So what can be done to prevent dental disease?
- Brush teeth at least twice a week with veterinary toothpaste. Only use toothpaste specifically formulated for pets because the fluoride in human products can be harmful to pets.
- Have your veterinarian perform a prophylactic teeth cleaning every 6 -12 months or at the first sign of tartar buildup.
- Feed your dog a veterinary-approved dental diet to help reduce the formation of plaque and tartar.
- Use oral hygiene rinse or dental wipes once a day to help decrease bacteria in the mouth.
- Give veterinary-approved enzymatic and tartar control chews and treats.
In the past pet parents have taken more of a reactive approach on dental care after the disease has already progressed. This often resulted in poorer pet health and very expensive oral surgery bills with lengthy anesthesia times. Fortunately, now with the advancement of the prevention and wellness mindset of owners, coupled with new products to allow for easier dental care, that trend is changing. Regular at home dental care, and yearly dental exams and cleaning (just like the human side) can help to prevent the problems before they start.
BEFORE AFTER

As a veterinarian it is my goal to partner with pet parents to help prevent dental disease and it is NEVER too late to start!
Filed Under: Health & Wellness

Dr. Michelle Hoffman received her DVM in 2003 from Purdue University, and then re-located to practice in Virginia Beach. Her driving passion in veterinary medicine is to strengthen the bond between pets and their families by focusing on client education, preventative care, behavior modification, and chronic disease management.

